DIÊN NIÊN

Cạo vôi răng siêu âm không xâm lấn – Sự ưu việt của công nghệ hiện đại (Không xâm lấn nướu và hạn chế tối đa ê răng)
Chủ quan và không có thói quen cạo vôi răng đó là nguyên nhân lớn nhất và chủ yếu dẫn đến các bệnh răng miệng phổ biến tại Việt Nam: viêm nha chu, viêm nướu và chảy máu chân răng, sâu răng, hơi thở có mùi, răng tối màu, mòn cổ chân răng, … Trong đó, nguy hiểm nhất là viêm nha chu, đây là loại bệnh gây viêm xung huyết nướu, tụt nướu, tiêu xương và làm cho răng suy yếu rồi mất răng sớm.
Những lý do chính chúng ta không cạo vôi răng đó là sợ đau, sợ ê buốt, sợ mòn men răng và sợ tổn thương nướu. Đó chính là lý do ra đời Công nghệ Cạo vôi răng siêu âm không xâm lấn. Đây là công nghệ cạo vôi áp dụng phổ biến tại các nước phát triển.
VÔI RĂNG (CAO RĂNG) NGUY HIỂM NHƯ THẾ NÀO?
Vôi răng (cao răng) thực chất là những mảng bám do thức ăn bám trên răng lâu ngày bị vôi hóa và kết hợp với canxi carbonat và phosphate có trong nước bọt. Vôi răng gồm một phần nhỏ trên thân răng (nơi chúng ta nhìn thấy) nhưng phần lớn chúng lại nằm ở chân răng và phần răng dưới nướu (chúng ta khó nhìn thấy phần vôi răng này nhưng nó là phần nguy hại nhất).
Những nguy hiểm do vôi răng gây ra mà phần lớn chúng ta không biết:

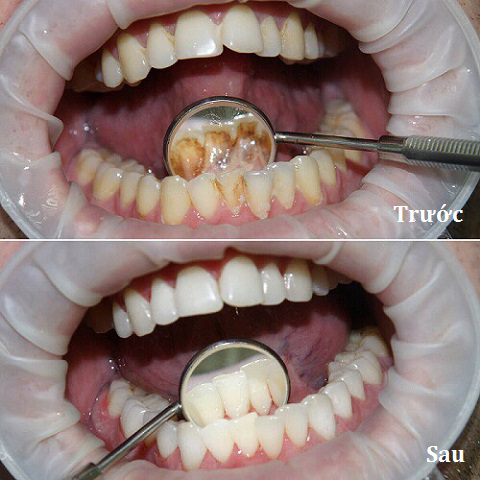
(Vôi răng gây ra nhiều bệnh răng miệng nguy hiểm hơn chúng ta tưởng)
Vôi răng là nơi lý tưởng nhất để vi khuẩn tích tụ từ đó gây ra các bệnh: viêm nướu, viêm nha chu, hôi miệng, acid phá hủy men răng, sâu răng và sâu răng có viêm tủy. Nguy hiểm bậc nhất trong các bệnh do vôi răng đó là viêm nha chu. Viêm nha chu là bệnh vô cùng phổ biến tại Việt Nam và nó gây nên hiện tượng: viêm xung huyết nướu, viêm mô quanh răng, tụt nướu, tiêu xương hàm, ... dẫn đến răng yếu, lung lay và mất răng sớm.
Viêm nha chu do vôi răng còn dẫn đến nguy cơ các bệnh: đau vùng thái dương, tim mạch, nhiễm khuẩn huyết, tiểu đường, bệnh về đường hô hấp, sinh non nhẹ cân, …
CẠO VÔI RĂNG SIÊU ÂM KHÔNG XÂM LẤN VÀ ƯU ĐIỂM CỦA NÓ?
Trước hết, nói về nhược điểm của cạo vôi theo phương pháp truyền thống:
Cạo vôi răng theo cách truyền thống là dùng đầu mài (dùng lực ma sát) để loại bỏ vôi răng, do đó, mắc 4 nhược điểm sau:
– Ê buốt rất khó chịu và có thể hơi ê sau khi cạo vôi từ 1 – 2 ngày.
– Chảy máu do tổn thương nướu.
– Không loại bỏ được vôi răng ở các khe nhỏ và vôi răng ẩn dưới nướu.
– Tổn hại một phần men răng không cần thiết, vừa gây ê răng vừa không tốt cho răng.
Với cạo vôi răng siêu âm, cả 4 hạn chế này đều được khắc phúc, và đó là lý do cạo vôi răng siêu âm đang là phương pháp cạo vôi răng phổ biến nhất hiện nay. Ở các nước phát triển, các nha khoa đã không còn cạo vôi theo phương pháp truyền thống mà đều dùng phương pháp cạo vôi răng siêu âm.
Cạo vôi răng siêu âm không xâm lấn là gì và ưu điểm của phương pháp này?

(Tại các nước phát triển, cạo vôi răng siêu âm đã thay thế hoàn toàn cho cạo vôi răng truyền thống)
Máy cạo vôi răng siêu âm hoạt động nhờ bước sóng siêu âm an toàn 25Kz, công suất từ 10W – 30W tác động vào các cấu trúc vôi răng để làm tan rã chúng và làm mất liên kết giữa vôi răng và mô răng thật. Sau đó, dưới áp lực nước 172 – 414Kpa giúp loại bỏ triệt để vôi răng, kể cả những phần vôi ở kẽ, hoặc dưới nướu mà vẫn không gây xâm lấn nướu. Ngoài ra, một đầu hút nước và vôi răng thường trực sẽ hút lại toàn bộ vôi, cặn và nước.
Ưu điểm của cạo vôi răng siêu âm không xâm lấn:
– Loại bỏ trên 90% vôi răng kể cả vôi răng dưới nướu và mảng màu bám trên răng
– Có chế độ cạo vôi siêu âm là hạn chế ma sát men răng mà dùng sóng siêu âm nên hạn chế tối đa cảm giác ê răng, không gây đau và đảm bảo không tổn hại men răng.
– Không xâm lấn nướu nên không chảy máu.
– Sóng siêu âm với bước sóng 25Kz, công suất từ 10W – 30W là hoàn toàn an toàn cho răng và cơ thể (đã được công nhận an toàn và phổ biến toàn cầu).
(Vôi răng được lấy sạch mà hoàn toàn không gây tổn thương nướu hay men răng)

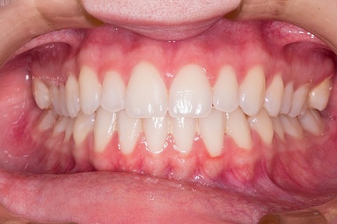
(Cạo vôi răng siêu âm và đánh bóng răng giúp loại bỏ được các mảng màu trên bề mặt răng, giúp răng sáng hơn)
(Nướu, men răng hoàn toàn không bị tổn thương nên hạn chế tối đa ê răng, cảm giác rất nhẹ nhàng)

4 BƯỚC CẠO VÔI RĂNG SIÊU ÂM KHÔNG XÂM LẤN
Bước 1: Vệ sinh răng miệng sạch sẽ
Bước 2: Dùng thiết bị cạo vôi siêu âm để làm tan rã vôi răng toàn diện

(Mũi siêu âm làm tan rã tất cả vôi răng ở bề mặt, chân răng, kẽ răng, … mà không tổn thương nướu và men răng)
Bước 3: Vôi răng tan rã và mềm đi, sau đó dùng tia nước sẽ loại bỏ triệt để vôi, đồng thời nước và vôi răng được hút ngay vào ống hút để tránh gây cảm giác khó chịu.

Bước 4: Đánh bóng bề mặt răng, giúp răng trắng sáng hơn.

(Răng được đánh bóng bề mặt để trở nên trắng sáng hơn)
CẠO VÔI RĂNG SIÊU ÂM VÀ ĐÁNH BÓNG RĂNG GIÁ BAO NHIÊU?
Tại Peace Dentistry, giá trọn gói của Dịch vụ cạo vôi răng siêu âm và đánh bóng răng có giá 250.000 VNĐ. Với cạo vôi răng định kỳ có giá 150.000 VNĐ. Chi phí này là chi phí trọn gói, bao gồm: Khám tổng quát răng miệng, cạo vôi răng siêu âm và đánh bóng răng.
5 CÂU HỎI LIÊN QUAN ĐẾN CẠO VÔI RĂNG LÀ LƯU Ý TỪ BÁC SỸ
Bác sĩ Nguyễn Thị Mỹ Hạnh (Thành viên hiệp hội nha khoa SC-ADA) trả lời một số câu hỏi liên quan.

(Bác sĩ Nguyễn Thị Mỹ Hạnh thực hiện cạo vôi răng và đánh bóng răng bằng máy siêu âm tại Dentel)
Vôi răng (cao răng) thực chất là gì và có nguy hiểm không?
– Cao răng (Vôi răng) thực chất là những cặn cứng của muối vô cơ là canxi carbonat, phosphate và các cặn mềm là mảnh vụn thức ăn, các chất khoáng trong miệng. Chúng được tích tụ thường xuyên theo thời gian và dưới vôi răng là các ổ vi khuẩn gây hôi miệng, viêm nướu, viêm nha chu và bào mòn chân răng, sâu răng, mất răng sớm.
Bao lâu thì lấy cao răng một lần?
– Chúng ta nên cao vôi răng (cao răng) định kỳ 6 tháng một lần để ngăn ngừa các bệnh răng miệng, răng khỏe, hơi thở tốt và hạn chế các bệnh do vi khuẩn tích tụ ở vôi răng.
Cạo vôi răng có đau không?
– Cao vôi răng đau hay ê buốt không chỉ phụ thuộc vào công nghệ và tay nghề bác sĩ. Với cạo vôi răng bằng máy siêu âm thì khách hàng chỉ có cảm giác hơi ê răng, chứ hoàn toàn không đau hay buốt răng như các phương pháp truyền thống.
Cạo vôi răng có làm răng trắng sáng không?
– Vôi răng là thành phần rất dễ nhiễm màu, do vậy, vôi răng luôn đi kèm là răng ố vàng. Do vậy cạo vôi răng siêu âm ngoài việc làm sạch vôi răng còn loại bỏ triệt để mảng bám (mà đánh răng hay dùng các chất làm trắng răng không có kết quả). Do đó, cạo vôi răng siêu âm và đánh bóng răng sẽ giúp răng trắng sáng, trừ trường hợp nhiễm màu nặng.
Cạo vôi răng có hại gì không?
– Cạo vôi răng là việc làm rất tốt và rất cần thiết giúp ngăn ngừa nhiều bệnh răng miệng. Khi bác sĩ thực hiện cạo vôi răng đúng kỹ thuật thì hoàn toàn không hại gì cho răng miệng.
Lưu ý cho khách hàng: Cạo vôi răng tuy không phức tạp nhưng chắc chắn phải được thực hiện bởi bác sĩ. Hiện nay, không ít nha khoa để các trợ thủ (nha tá) thực hiện việc cạo vôi răng. Điều này là vi phạm quy định quản lý dịch vụ y tế và có thể gây bất lợi cho khách hàng: đau ê nhiều, tổn thương nướu, hại men răng, … Vì vậy, chúng ta cần để ý người thực hiện dịch vụ tên gì, có phải bác sĩ hay không. Nếu không chắc chắn được họ là bác sĩ thì nên từ chối thực hiện dịch vụ. Tốt nhất nên chọn các nha khoa uy tín, dù là cạo vôi cũng vậy.