DIÊN NIÊN
Nhổ răng khôn đòi hỏi kỹ thuật và độ khéo léo cao trong xử lý. Bài viết này cung cấp cho quý khách hàng những thông tin về dịch vụ nhổ răng khôn tại Nha khoa Dentel.
Răng khôn thường khó nhổ hơn so với các răng còn lại. Không chỉ vậy, nó còn có thể gây nên những biến chứng khôn lường. Lựa chọn một cơ sở uy tín với đội ngũ y bác sĩ chuyên môn cao có thể giúp bạn loại bỏ những rủi ro này.
RĂNG KHÔN LÀ GÌ?
Răng khôn là răng mọc số 8, mọc trong cùng của hàm răng. Nó thường mọc ở độ tuổi 17 – 25, độ tuổi trưởng thành. Vì vậy người ta thường gọi nó là răng khôn thay vì răng 8. Răng này có thể mọc từ 1 – 4 chiếc tuỳ vào từng trường hợp.
Những kiểu mọc của răng khôn
Răng mọc thẳng thông thường;
Răng mọc lệch khoảng 45 độ;
Răng mọc ngang (lệch 90 độ);
Răng mọc ngược 90 độ
Răng khôn mọc lệch 45 độ chèn vào những răng bên cạnh

Có nên nhổ răng không hay không?
Với những răng khôn mọc thẳng có thể hỗ trợ thêm cho quá trình ăn nhai của con người. Tuy nhiên, các răng này lại thường mọc lệch do những cản trở tại chỗ, gây xô đẩy răng toàn hàm. Không chỉ vậy, vì mọc trong cùng, răng khôn thường dễ khiến dắt thức ăn, vi khuẩn gây nên tình trạng sâu răng hoặc viêm nhiễm. Do đó các bác sĩ nha khoa thường khuyên nhổ bỏ nếu thể trạng bạn đạt yêu cầu.
NHỮNG TRƯỜNG HỢP NÊN VÀ KHÔNG NÊN NHỔ RĂNG KHÔN
Trường hợp nên nhổ răng khôn
Răng mọc lệch, xô đẩy, ảnh hưởng tới những răng khác;
Răng bị sâu, viêm nhiễm;
Trường hợp răng khôn 1 bên chỉ mọc ở 1 hàm, có thể gây nên tình trạng trồi răng khiến tụt nướu;
Răng mọc ngang, mọc ngược, bị lợi trùm gây sưng tấy, đau nhức;
Và một số trường hợp khác cần thăm khám để xác định.
Trường hợp chống chỉ định nhổ răng khôn
Phụ nữ đang mang thai hay cho con bú;
Người đang trong quá trình điều trị hoá trị hoặc xạ trị;
Người mắc bệnh tim, thần kinh và không có sự đồng ý của bác sĩ điều trị các bệnh lý này;
Người bị viêm cấp ở vùng răng khôn, cần điều trị viêm trước khi nhổ;
Người mắc các bệnh về máu; vv….
QUY TRÌNH NHỔ RĂNG KHÔN TẠI NHA KHOA DENTEL
Quy trình nhổ răng khôn tại Dentel nghiêm ngặt, theo đúng các yêu cầu về an toàn trong Nha khoa của Bộ Y Tế với 4 bước:
Thăm khám tổng quát
Đầu tiên, khách hàng sẽ được thăm khám sức khoẻ toàn thân và tình trạng răng miệng. Đặc biệt là tại vùng răng khôn cần nhổ. Những bệnh lý như viêm mô mềm (viêm nướu) tại vùng răng khôn đó (nếu có) cần được xử lý trước rồi mới tiền hành nhổ răng khôn.
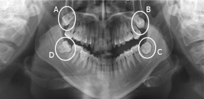
Đến với Nha khoa Dentel, mỗi khách hàng sẽ chụp X-quang cùng máy CT Cone Beam trong quá trình thăm khám tổng quát. Phim X-quang và phim 3D sẽ cho phép bác sĩ có thể thấy rõ được hình dáng, kiểu mọc của răng khôn. Từ đó đưa ra một phương án nhổ sao cho phù hợp mà lại an toàn.
Vệ sinh khoang miệng, gây tê
Khoang miệng của khách hàng sẽ được vệ sinh sạch sẽ để đảm bảo môi trường an toàn trong quá trình nhổ răng. Sau đó, bác sĩ sẽ gây tê tại chỗ để vô cảm vùng trước khi nhổ. Do vậy mà trong quá trình loại bỏ răng khôn, khách hàng sẽ hoàn toàn không cảm thấy đau.
Loại bỏ răng khôn
Tuỳ từng tình trạng mọc răng khôn của mỗi khách hàng, mà quá trình loại bỏ răng khôn sẽ diễn ra khác nhau.
Với những răng mọc thẳng, việc nhổ răng sẽ dễ dàng hơn, tương tự như với các răng hàm thông thường khác.
Với những răng mọc lệch, mọc ngầm; bác sĩ cần lật vạt, mở xương. Những trường hợp chân răng mọc phức tạp, bác sĩ thực hiện sẽ cần sử dụng máy siêu âm cắt kẹt, chia răng và lần lượt lấy những mảng răng nhỏ ra. Như vậy sẽ không gây tổn hại tới xương, nướu và vùng răng bên cạnh.
Chăm sóc sau khi nhổ răng khôn
Sau khi nhổ răng khôn sẽ có trường hợp chảy máu. Bạn nên ngậm bông gòn trong 30 phút – 1 giờ đầu. Nếu tình trạng chảy máu vẫn tiếp diễn, bạn nên uống nước mát hoặc chườm mát để máu ngưng chảy lại nhanh hơn. Trong 1 – 2 ngày đầu nên tránh ăn đồ nóng. Bạn có thể đánh răng bình thường.
Từ ngày thứ 2 sau khi nhổ răng khôn, bạn hoàn toàn có thể đánh răng, súc miệng bình thường. Nếu có tình trạng sưng, từ ngày thứ 3 bạn có thể chườm ấm và nên tránh ăn hay uống đồ lạnh để giảm phần sưng nhanh hơn. Ngoài ra bạn sẽ uống thêm thuốc kháng sinh theo đơn của bác sĩ để tăng sức đề kháng cho cơ thể.
Bất kỳ thắc mắc hay hiện tượng nào khả nghi, bạn nên hỏi ý kiến ngay từ bác sĩ để đảm bảo tình trạng. Tham khảo thêm các cách giúp giảm đau khi mọc răng khôn tại đây.
BẢNG GIÁ NHỔ RĂNG KHÔN 2020
Dịch vụ Giá ( /1 răng) – đơn vị VNĐ
Nhổ răng khôn mọc thẳng 1.500.000
Nhổ răng khôn mọc lệch mức 1 2.000.000
Nhổ răng khôn mọc lệch mức 2 3.000.000
Nhổ răng khôn mọc lệch mức 3 (mọc ngầm phức tạp) 5.000.000
NHỔ RĂNG KHÔN TẠI NHA KHOA DENTEL CÓ TỐT KHÔNG?
Với 03 ưu điểm sau, Dentel tin rằng quý khách hàng nên lựa chọn Nha khoa của chúng tôi
1. Chuẩn đoán chính xác
Răng 8 là răng có các kiểu mọc phức tạp. Đặc biệt là phần chân răng. Để có thể chuẩn đoán chính xác cũng như lên phương án nhổ phù hợp, khách hàng sẽ tiền hành chụp phim X-quang, phim 3D với thiết bị công nghệ cao. Nhờ đó có thể thấy rõ hình dáng hoàn chỉnh chiếc răng 8, ngay cả trong trường hợp mọc ngầm bị lợi trùm, mang lại một phác đồ điều trị chuẩn xác – hoàn hảo.
2. Bác sĩ chuyên môn cao, giàu kinh nghiệm
Từng thực hiện hàng ngàn ca nhổ răng khôn, đội ngũ bác sĩ tại Nha khoa Dentel luôn tự tin với tay nghề của mình. An toàn – hiệu quả là phương chấm của toàn thể y bác sĩ của chúng tôi.
3. Tránh tuyệt đối những khoảng giới hạn không xâm phạm
Do là răng trong cùng lại thường hay mọc kẹt, nhổ răng khôn có nguy cơ cao ảnh hưởng tới vùng răng bên cạnh. Không chỉ vậy, với những răng 8 hàm dưới, khi thực hiện loại bỏ cần lưu ý khoảng dây thần kinh hàm dưới.
Với phim chụp X-quang, phim chụp cắt lát từ máy CT Cone Beam, cho phép xác định rõ tới từng milimet. Giúp bác sĩ có thể tránh tuyệt đối những khoảng giới hạn không xâm phạm cũng như không gây tổn thương tới mô mềm và vùng răng bên cạnh. Nhờ đó mà bạn có thể yên tâm lựa chọn Nha khoa Dentel để thực hiện loại bỏ răng khôn nhanh chóng – an toàn và hiệu quả.


Phim chụp cắt lát trước khi nhổ răng khôn